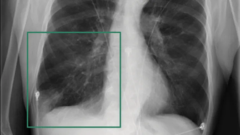
Medical AI has reached an inflection point. While vision-language models (VLMs) have shown promise in medical imaging, they have lacked the systematic,... Medical AI has...
More like this
After the Saudi-backed EA buyout, OG Sims director says diversity isn’t just ‘critical,’ it’s ‘existential for the business’: ‘Love is love and people are people’
The future of EA has looked, well, uncertain since it got picked up in the biggest leveraged buyout in private equity history. For one thing,...
More like this
How to complete Marked for Death in Arc Raiders
Completing the Marked for Death mission in Arc Raiders is relatively simple in comparison to multi-region quests like What We Left Behind and Eyes in...
More like this
We need to commit—it’s time crunchy, complicated RPGs made their mainstream comeback for good
I'll be honest, I've never really understood the 'RPG to action game' pipeline that many popular series—and studios—have gone through. Consider Dragon Age; born as...
More like this
Lethal Company developer says the freedom afforded by text adventure design is why his latest game took 10 years to make: ‘That made it very easy for this project to spiral out of control’
Solo developer Zeekerss may be best known for Lethal Company, arguably the most influential game of the last few years. But it's actually the latest...
